IHMC Public Cmaps (2)

        GTC RAD 101 Fa10
        Lesley & Nadine

            Airport Security.url
            airport-security-xray1.jpg
            barium6.jpg
            Barium Platinocyanide.url
            Barriers.url
            becquerel.jpg
            Becquerel.url
            Brain CT.url
            Brain CT.jpg
            bullet shot.jpg
            Calcium Tungstate Screen.url
            Cathode.url
            cathode_ray_tube.jpg
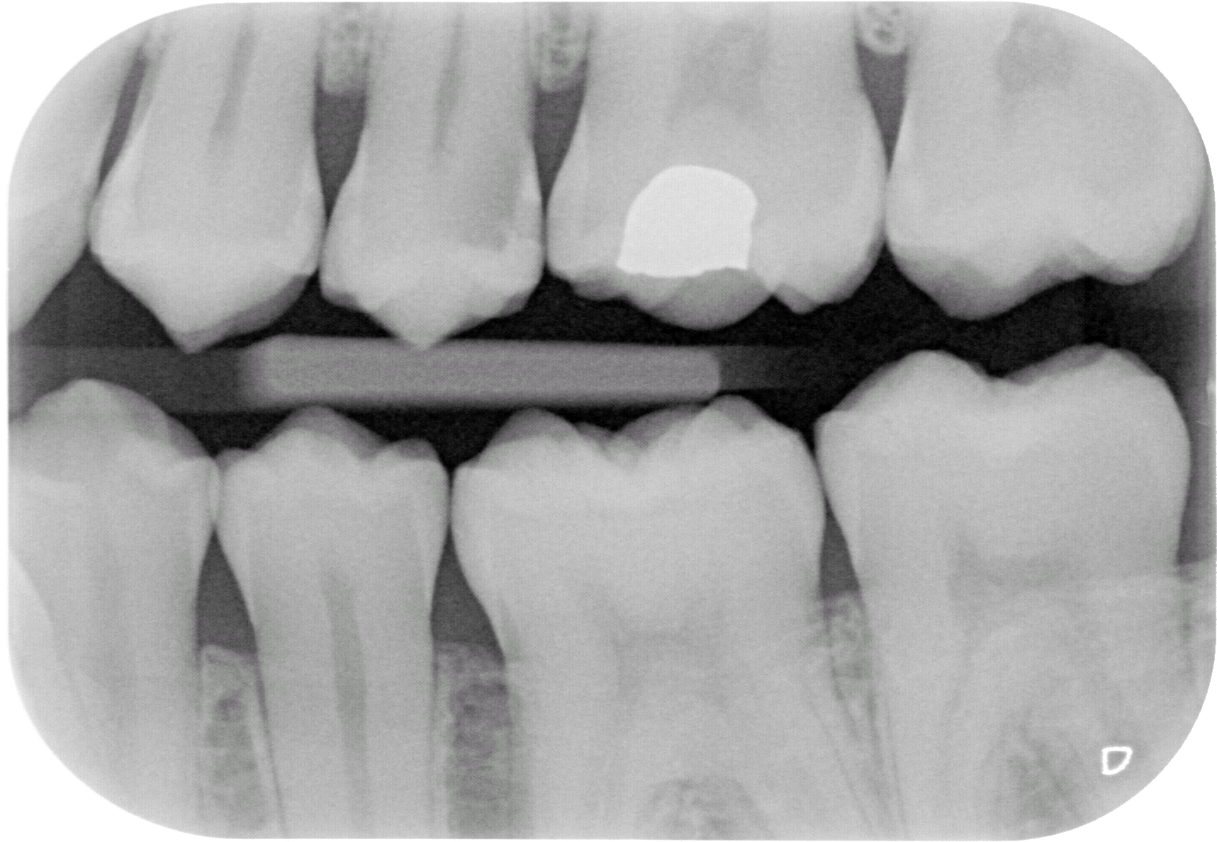
            cavity.jpg
            cavity.bmp
            collimator.jpg
            Collimator.url
            Crookes.url
            Crookes Tube.url
            crooks_tube.jpg
            CT.url
            Denistry.url
            Dental-X-Ray-Digital29nov05.jpg
            dussik4.jpg
            Electron_shell_084_polonium.png
            Germany_map.jpg
            Gun shot.url
            hand xray.jpg
            History of Radiology.cmap
            History of Radiology.url
            hydrogen atoms.jpg
            Hydrogen Atoms.url
            injury.jpg
            Intensifying Screen.url
            Intensifying Screens.url
            intesifying_screen.jpg
            Karl Dussik.url
            Key Dates in Radiographic History.url
            Lead_rubber_radiation_protective_clothing.jpg
            Lead Apron.url
            Luggage.url
            mammogram.jpg
            Mammogram.url
            Mammogram Machine.url
            Mammography.url
            Mammography machine.jpg
            map of Germany.url
            Marie and Pierre.url
            marie-pierre-curie.jpg
            MRI.url
            Nuclear Medicine.url
            Patient Shielding Part 4.url
            Polonium.url
            protective barriers.jpg
            radiation_therapy.jpg
            Radiation Injury.url
            Radiation Therapy.url
            radium.png
            Radium.url
            rare-earth screen.url
            roentgen.jpg
            Rontgen.url
            Rontgen Hand.url
            RTstudent.url
            RTstudents.url
            security.jpg
            shield.jpg
            shoecard.jpg
            shoe fitting fluoroscope.jpg
            Shoe-Fitting Fluoroscope.url
            Shoe Fitting Video.url
            tesla.jpg
            Tesla.url
            Tooth decay.url
            tube_x-ray.jpg
            Ultrasound History.url
            Uranium.url
            uranium2.jpg
            William20Crookes.jpg
            WU.url
            wuerzburg university.jpg
            X-ray tube.url